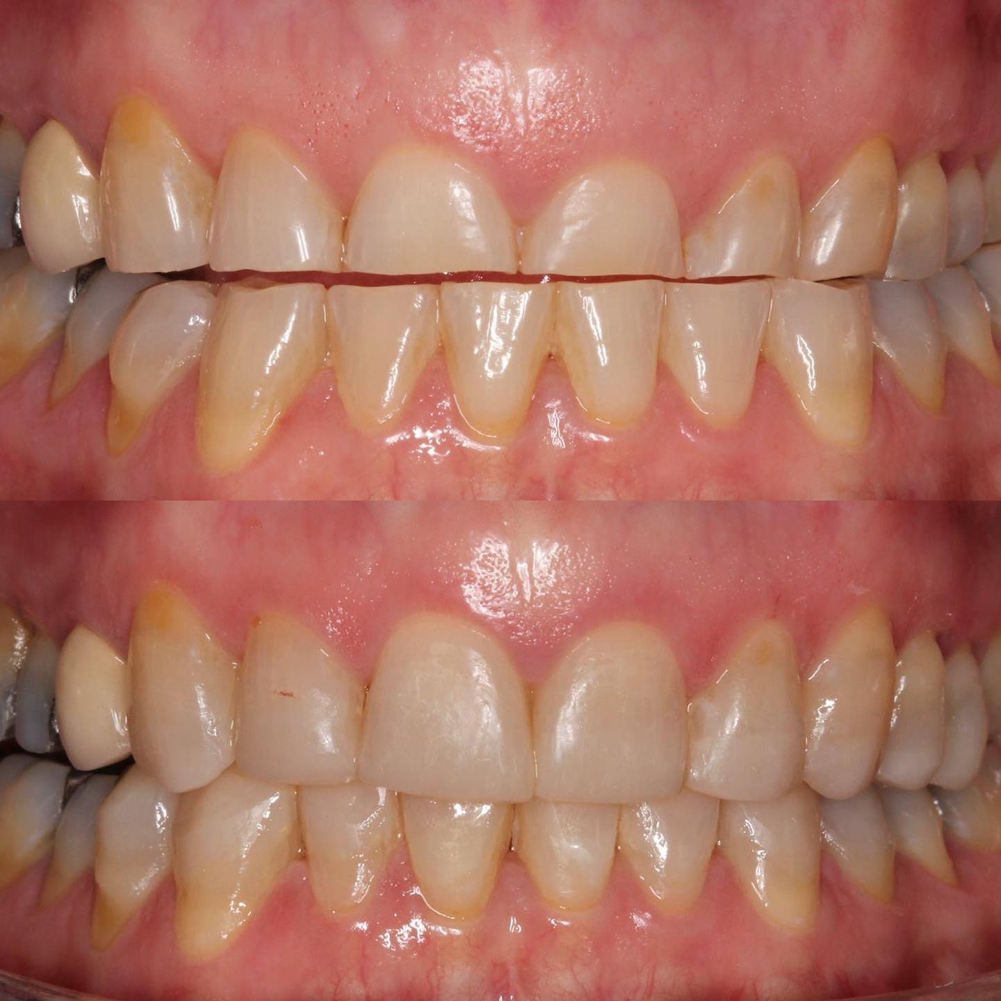
Tooth Decay and Worn Teeth

Tooth Decay and Worn Teeth

Restorative Dentistry is a broad term which describes replacing missing tooth substance (because teeth have broken or become decayed or worn) or actually replacing entire missing teeth. At Hunter Street Dental, providing restorative dentistry is the mainstay of our practice.
With patients keeping teeth much later into life, the prevalence of tooth wear is increasing. Our dentists use advanced techniques to treat decay and worn teeth to restore your teeth to their natural strength and beauty. Whether it’s a small filling or a more extensive restoration, such as a porcelain onlay or crown, we ensure that the treatment is comfortable and long-lasting. By using high-quality materials and precise techniques, we can effectively repair decayed teeth, providing you with a healthy and functional smile that you can be proud of. Unlike most dental practices, our in-house milling unit means that many of these more extensive restorations can be provided in a single visit.
GET IN TOUCH

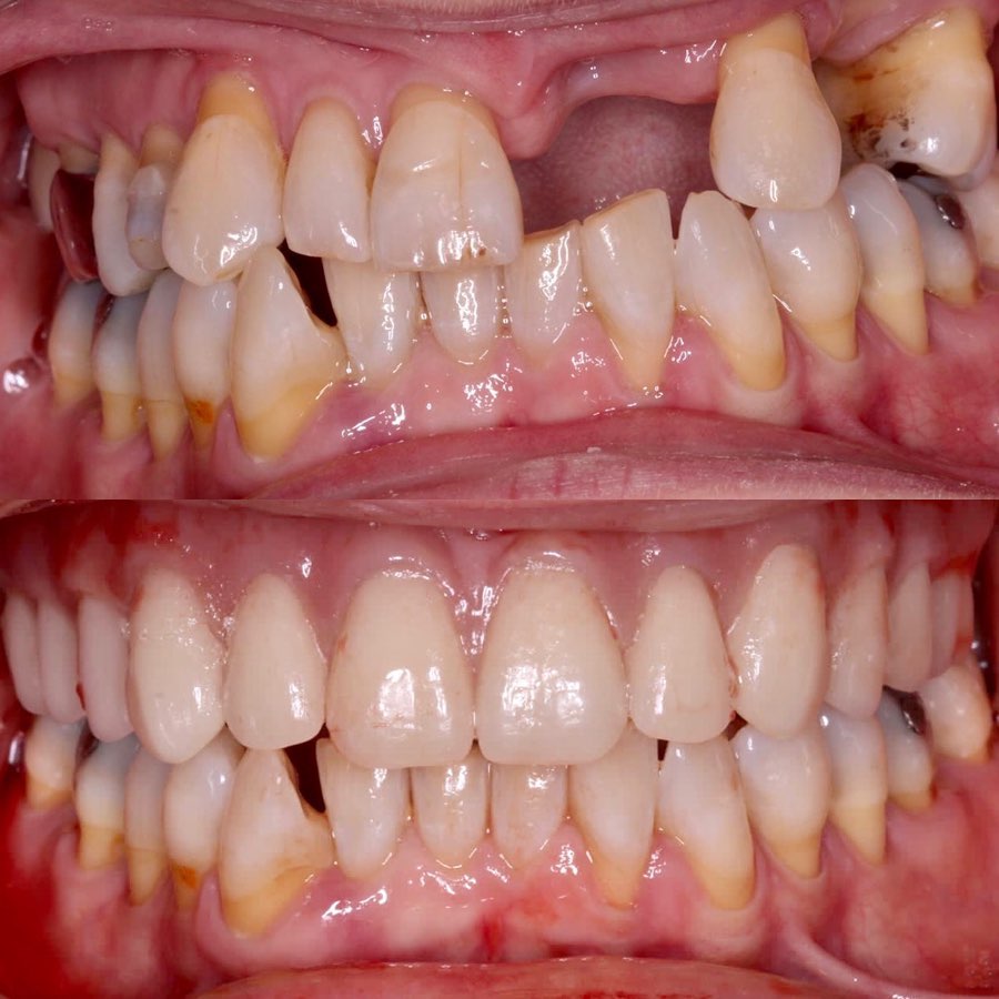
Missing Teeth

Missing teeth can be restored with implants, bridges or removable dentures. You can read more about dental implants here. In some situations, dental bridges offer a reliable solution to restore your smile. A bridge is a custom-made prosthetic device that fills the gap created by missing teeth. It consists of one or more crowns placed on adjacent teeth, with artificial teeth in between to replace the missing ones. We take great care in designing bridges that seamlessly blend with your natural teeth, enhancing both your appearance and oral function. Our team will work closely with you to ensure a comfortable fit and a beautiful, natural-looking result.
At Hunter Street Dental, we are proud of our commitment to embracing the latest technologies to enhance your dental experience. Most of the dentures we make, both partial dentures and full dentures, can be constructed from 3D scans of your mouth or previous denture. This innovative technique reduces the need for messy impressions, providing a more comfortable and efficient process. Using our advanced scanning technology, we capture detailed digital images of your oral structures, allowing for highly accurate and precise denture fabrication. With the help of these precise measurements, we create custom dentures that fit comfortably and look incredibly natural, giving you the confidence to smile, eat, and speak with ease.
GET IN TOUCH
Missing Teeth

FAQs

What is the difference between a crown and a bridge?

A crown is a single-tooth restoration that caps your existing tooth. A bridge replaces one or more adjacent missing teeth with a prosthetic that literally bridges the gap, held in place at each end by a crown.

How is my crown or bridge made?

Traditional crowns and bridges have to be made in a dental lab. This will require you to sit for digital dental impressions so that an accurate restoration can be tailor-made to create the perfect combination of function and aesthetics. You will be involved in the process from start to finish and the lab will create a restoration that meets you and your dentist’s requirements in terms of shape and shade.

How is a crown or bridge fitted?

Before your custom restoration is made at the lab, your dentist will prepare your tooth by re-shaping it to correctly accommodate the restoration. Mess-free digital dental impressions will then be taken and sent to the lab where your restoration will be made. When it is ready, you’ll return to Hunter Street to have your crown or bridge cemented in place and cured under a special light.

How long will my crown or bridge last for?

With good oral hygiene and regular dental check-ups, your restoration could last as long as 15 years.

Why choose dentures?

Dentures are the most cost-effective solution to missing teeth and will enable you to eat and speak with confidence.

How are dentures made?

Dentures are custom made in a dental lab, using your dental impressions to get the exact fit. A trial denture is usually made to check the fit before the final, permanent version is made.

What is the difference between full and partial dentures?

A partial denture fills the gap left behind by one or more missing teeth, and clips to your existing teeth. It can be easily unclipped and removed for cleaning. A full or complete denture is used when all the upper or lower teeth are missing, and fits snugly over your gums. It must be removed daily for cleaning.

Are dentures difficult to get used to?

Dentures can feel strange to begin with but most patients grow accustomed to them very quickly. As well as getting used to wearing them, you’ll also need to start a strict routine for cleaning them every morning and night; neglected dentures can cause a number of dental problems, from bad breath and oral thrush to gum disease and tooth decay.

How do I look after my dentures?

Clean them as you would your normal teeth – once in the morning and once at night. The routine requires you to brush them with toothpaste or soapy water, soak them with soluble denture-cleaning tablets to remove stains and bacteria, then brush again. If you’re taking your dentures out to sleep, keep them moist to stop them from drying out and changing shape. You’ll need to visit the dentist regularly to make sure your dentures are fitting and functioning correctly.