beautiful smile

Discreet, predictable and lifestyle-friendly: discover Invisalign clear aligners at Hunter Street Dental

At Hunter Street Dental, we love creating beautiful smiles. For patients who are looking to straighten crooked, spaced or crowded teeth, we offer Invisalign clear aligner treatment. Invisalign is the worlds most advanced clear aligner system, and can be used on its own, or in combination with other treatments such as tooth whitening and composite bonding to create a stunning smile.

Read more

For adults who want an orthodontic solution that is fast and discreet, Invisalign treatment – which gradually straightens your teeth using a series of clear, removable aligners, could be an excellent option. With Invisalign, we use the latest in digital scanning technology to plan your smile, allowing you to see the predicted final result before we start treatment.

The clear aligners used in Invisalign treatment are suitable to correct a wide range of orthodontic problems. However, Invisalign is not suitable for all cases. We will always discuss all treatment options with patients and for those who are not suitable for Invisalign treatment, or who wish an alternative orthodontic treatment such as fixed braces, we can refer to one of our local specialist orthodontist colleagues who will be able to offer alternative treatment options.

GET IN TOUCH

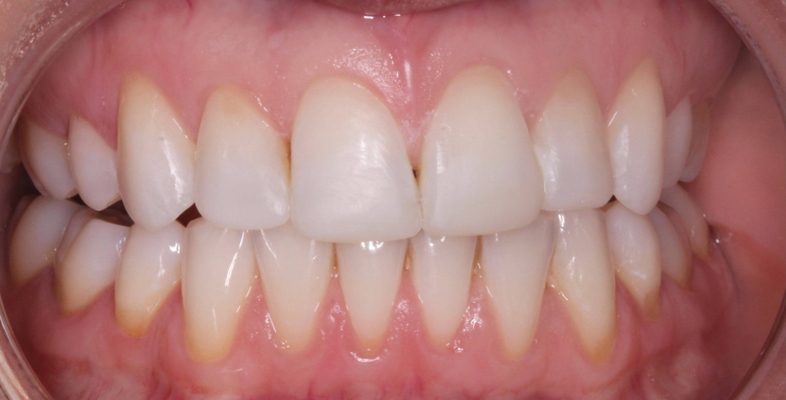
Invisalign treatment in East Kilbride

Invisalign treatment is an extremely effective and predictable way to straighten crooked, spaced or crowded teeth, allowing us to create the beautiful smiles our patients want. As well as the cosmetic benefits of straight teeth, they can be easier to clean and less prone to chipping and wearing over time. At Hunter Street Dental, we are treating more cases than ever before!

Read more

Most Invisalign cases are completed within 6 months. The discrete aligners fit snuggly over your teeth and are worn for at least 22 hours per day. They should be removed for eating, drinking (water is OK to drink with aligners in) and for oral hygiene. Each aligner exerts gentle forces on your teeth, gradually moving then into the desired, straight position. Once treatment is complete, patients will need to wear retainers to ensure that teeth remain in their new, straight position.

GET IN TOUCH
invisalign
Invisalign Logo

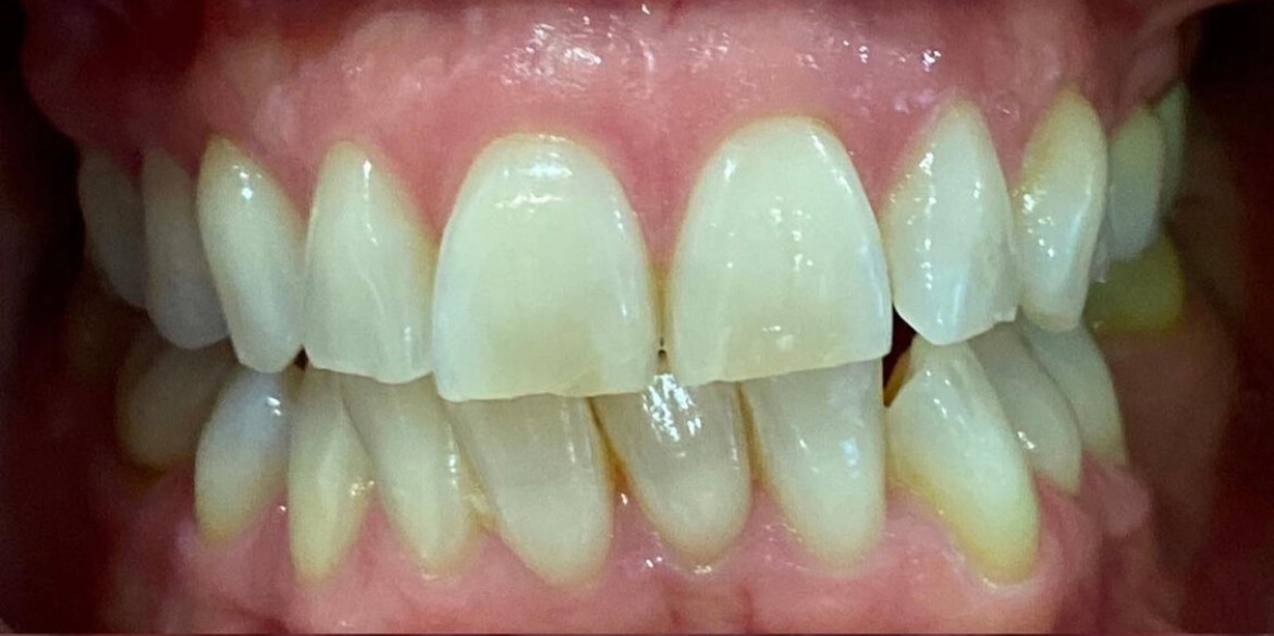
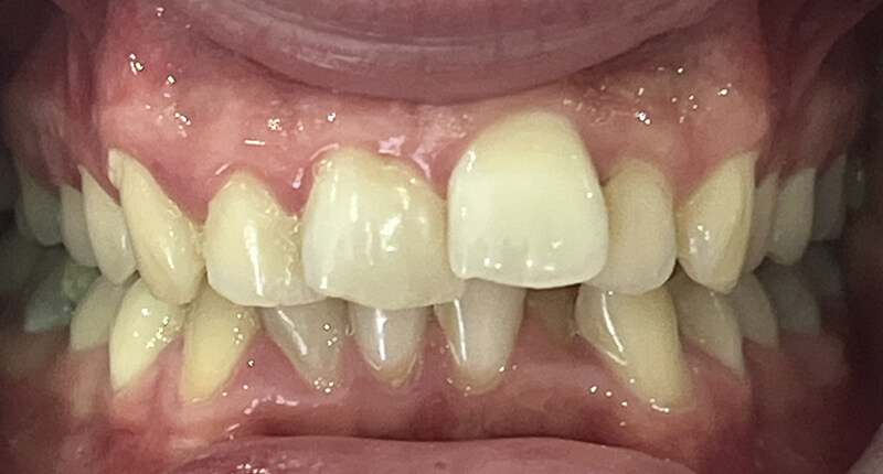
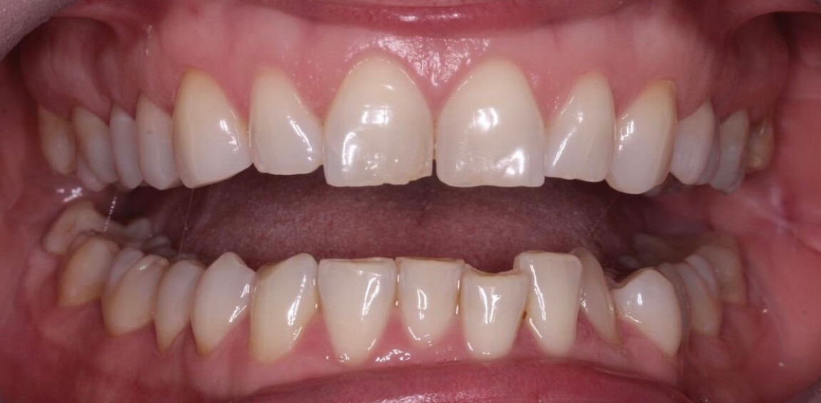
Before

Invisalign Case 1 Before

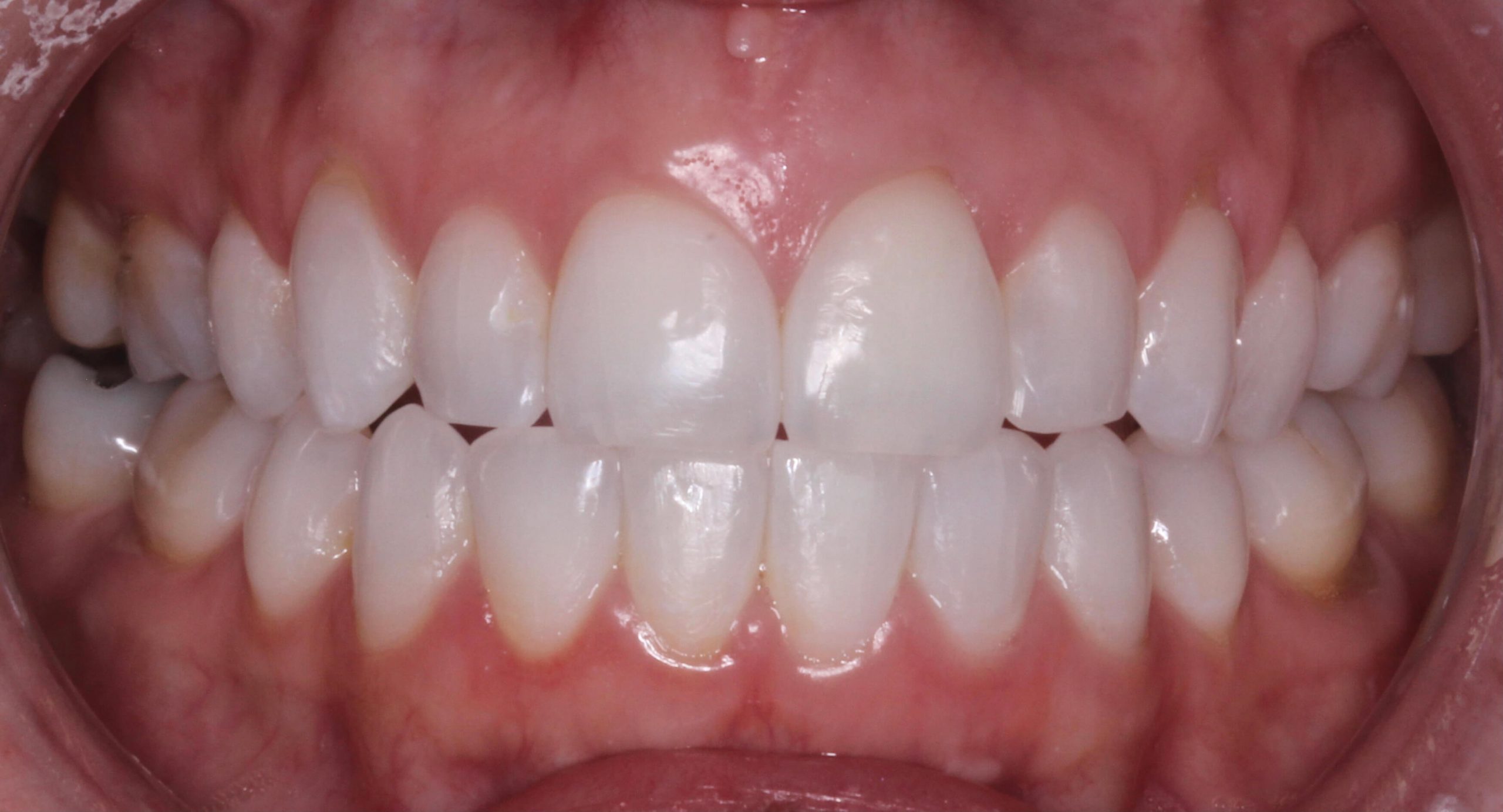
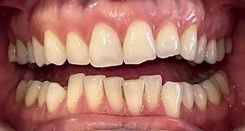
After

Invisalign Case 1 After

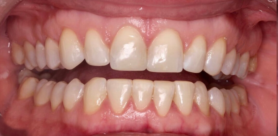
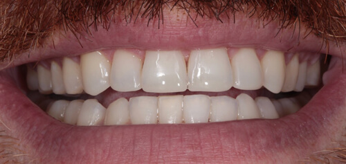
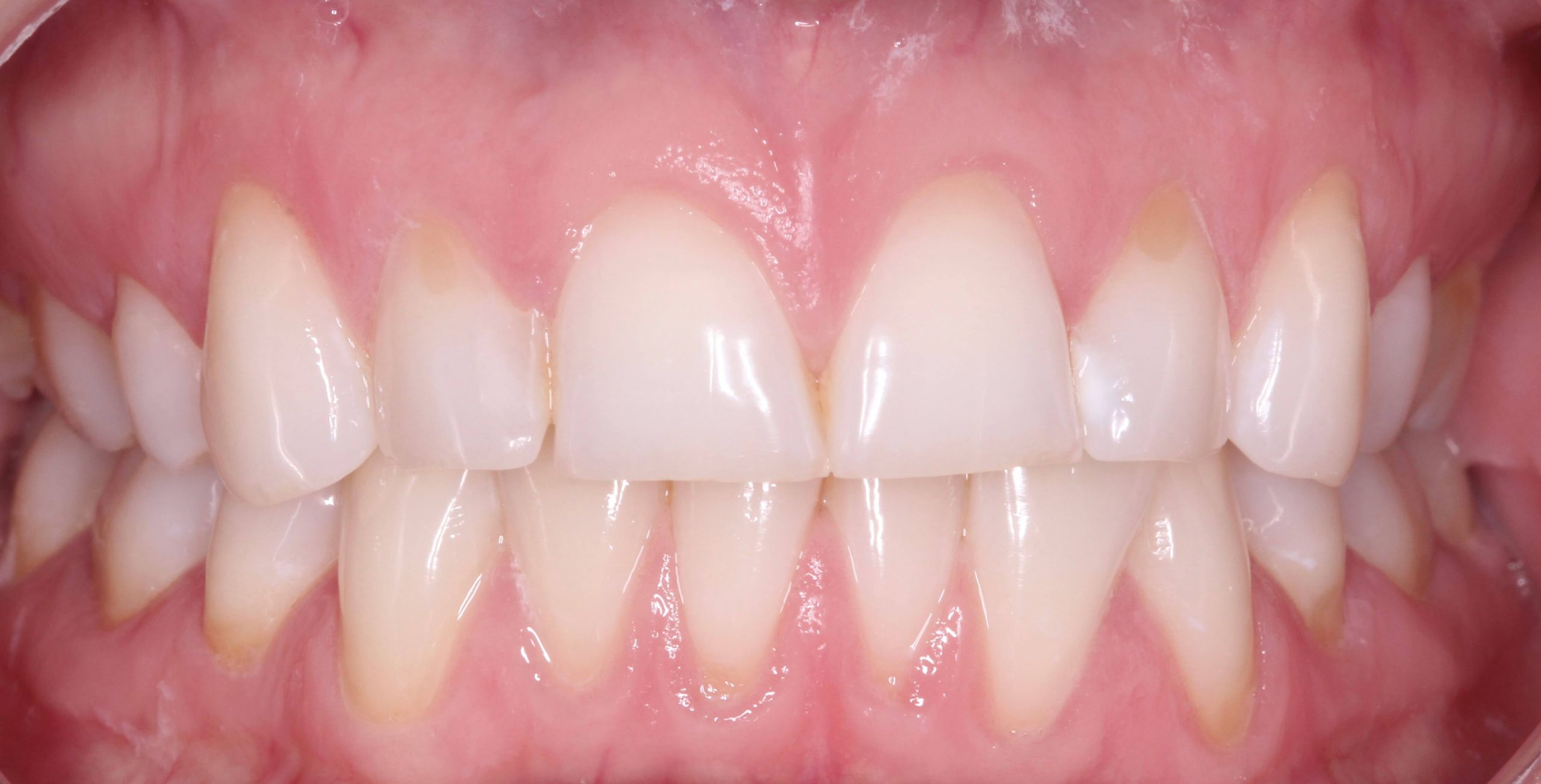
Before

Invisalign Case 2 Before

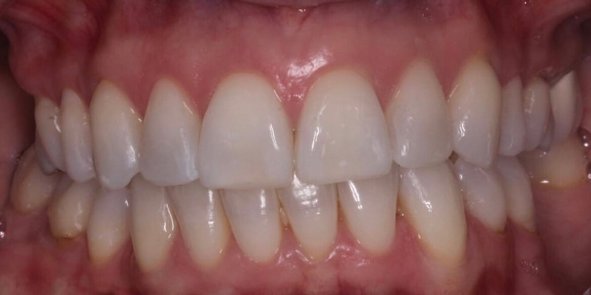
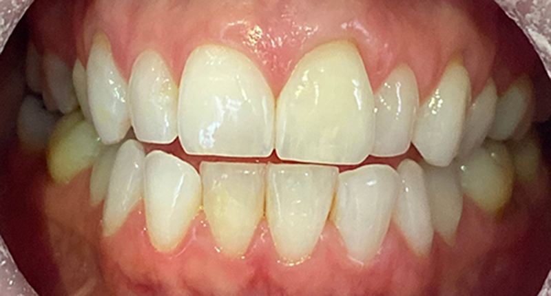
After

Invisalign Case 2 After

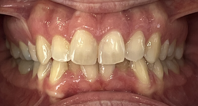
Before

Invisalign Case 3 Before

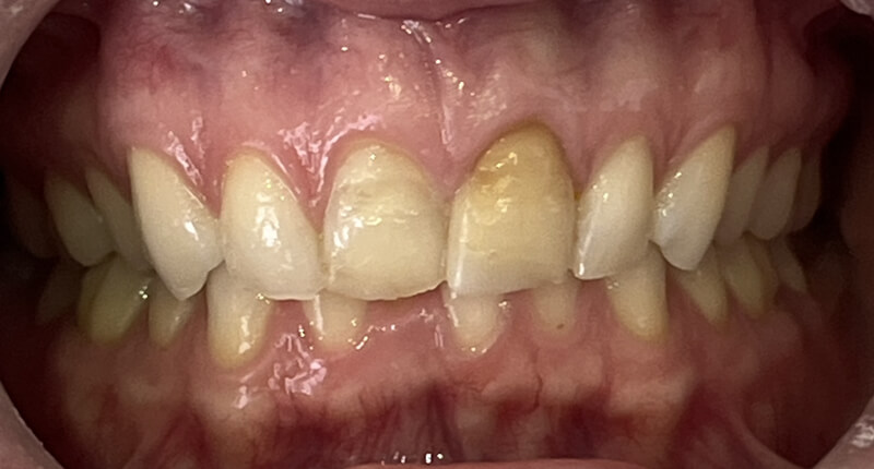
After

Invisalign Case 3 After

Before

Invisalign Before

After

Invisalign - After 1

Before

Invisalign - Before procedure 1

After

Invisalign - After procedure1

Before

Invisalign - Before

After

Invisalign - After

Before

Invisalign - Before

After

Invisalign - After

Before

Case Before

After

Case After

Before

Case Before

After

Case After

Before

Case Before

After

Case After

FAQs

What are the benefits of teeth straightening?

Having straight teeth gives you a better long-term chance of avoiding a host of dental problems, from tooth decay and gum disease (caused by not being able to clean crooked teeth effectively), to chronic pain from a bad bite, and risk of dental trauma from protruding teeth.

Why choose Invisalign?

Because they’re almost invisible, Invisalign clear aligners are ideal for anyone with a lifestyle that wouldn’t suit traditional metal braces. And because Invisalign aligners focus on the front ‘smiling’ teeth, treatment can be completed in a matter of months, not years.

Who is suitable for Invisalign treatment?

Invisalign is a cosmetic treatment designed for the front ‘smiling’ teeth – so if there are more complex problems concerning bite and function, we may recommend an alternative treatment, such as traditional fixed braces.

What does the Invisalign clear aligner treatment involve?

At your initial consultation, we will carry out a full orthodontic assessment including scans and photos of your teeth. We will then be able to show you a preview of your aligned teeth using our digital simulator. Digital impressions will be taken to create your Invisalign aligners, which you wear for a prescribed amount of time before returning to Hunter Street Dental to swap them for new sets. In this way, your teeth will be gently and quickly moved into the desired position. You continue this process until treatment is completed.

How long do I need to wear aligners for?

Although they are removable, aligners should be worn all the time. They should only be removed for eating, drinking (water is OK) and for brushing and flossing your teeth. Each aligner is worn for an average of 7-10 days before changing to the next one.

Will I need to wear retainers?

Once Invisalign treatment is complete, patients will need to wear retainers to ensure teeth remain in their new, straight position. This is a lifelong commitment. If retainers are not worn, teeth will relapse and become crooked once again. We will usually advise patients have a fixed wire retainer as well as removable retainers to wear at night.