
Replace missing teeth and enjoy a long-term healthy smile
If you are missing a tooth or teeth and considering dental implants in East Kilbride, you can access this high-tech treatment in-house at Hunter Street Dental. No other treatment comes as close to creating the look and feel of a real tooth – and no other treatment has the potential to last your lifetime. The procedure involves relatively minor surgery, but does require the commitment to attend appointments over a number of months. And the result? You’ll be able to eat normally, speak clearly and smile beautifully. Dental implants aren’t just about function and aesthetics – they can dramatically improve your quality of life.
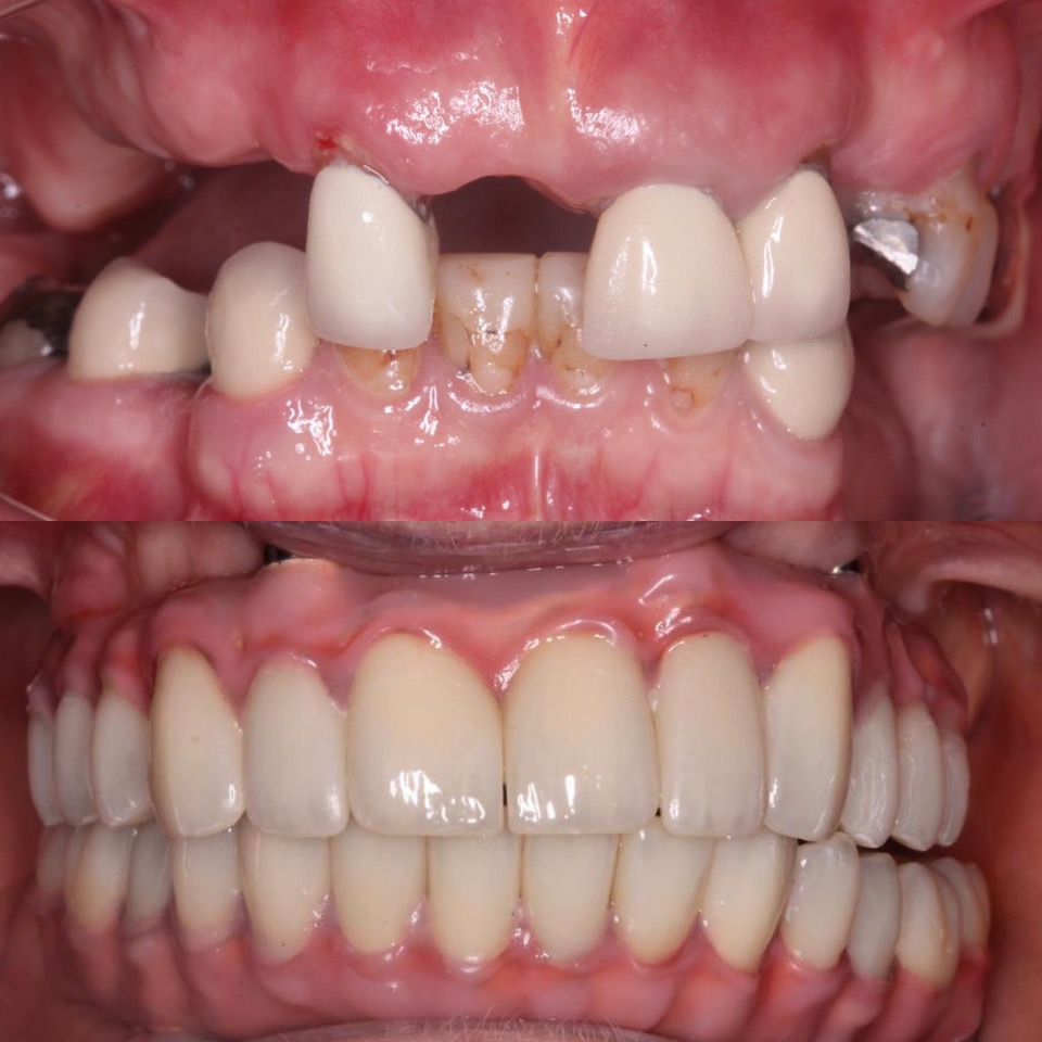
Dental implants at Hunter Street Dental: your options
A dental implant is a replacement for the root of your tooth that is precision-placed in your jawbone, which over a few months will knit together around the implant. This creates a strong foundation for a new prosthetic tooth that looks, feels and functions just like a natural tooth.
Read more
At Hunter Street Dental we use the renowned Astra Tech and Ankylos implant systems created by DentsplySirona. Implant solutions are flexible and can be designed to fit your personal requirements.
Dental implants are…
Long-lasting. Unlike crowns, bridges and dentures, which have to be replaced over the years, dental implants can be a lifelong solution if cared for properly.
Confidence-boosting. With dental implants, you can once again take for granted the ability to eat, speak and smile without discomfort or fear of embarrassment. They look as good as they feel, and feel as good as they look.
Anti-ageing. Yes really! Because dental implants are integrated into your jaw bone, they keep it supported and prevent the shrinkage that occurs over time when teeth are missing. This in turn avoids premature facial sagging many people experience as they age.
Multifunctional. Implants have multiple uses – they can replace a single tooth, a row of teeth or a full arch. They can also fix dentures in place to prevent slippage.
Options include:
Replacing a single missing tooth
Just a single implant is needed
Replacing a series of two or more missing teeth
Implants replace crowns, with a bridge in-between
Replacing an entire arch (or both arches)
Several implants are used to anchor a complete set of replacement teeth
Securing dentures
A solution that offers a substantial improvement over having to use adhesive
FAQs
Can anyone have dental implants?
Implants can only be considered for healthy mouths – so some patients may find that the process of getting implants will first require other dental work, such as bone grafting, gum surgery or orthodontics. Make an appointment at Hunter Street Dental for an initial consultation to assess your suitability for implants.
How does the dental implant procedure work?
Dental implant surgery is high-tech and minimally invasive. With the help of 3D scanning, an implant can be placed so accurately that it involves the least possible trauma and a swift recovery time. Once the implant has been placed in the jaw, you will need to wait a few weeks for the integration process to take place – this is where your natural bone tissue grows around the implant, securing it in place for the longterm. Once integration has successfully completed, you’ll be able to return to Hunter Street Dental for the final fitting of your new tooth.
Are implants possible for nervous patients?
Yes! Fear of the dentist is very common and quite understandable if you had a bad experience when you were younger, perhaps with a school dentist in the 1960s and 1970s. But implant surgery uses such advanced methods, including IV sedation, that pain is no longer an issue during treatment. Digital technology makes the procedure extremely accurate and reduces the risk of discomfort and inflammation post-surgery.
Does implant surgery hurt?
No – implant surgery is usually a completely pain-free procedure and is most often carried out under IV sedation, which combines sedative, analgesic and local anaesthetic. There may be some swelling for a few days after the procedure. Your dentist will supply you with a comprehensive aftercare plan.
Are implants safe?
Yes, dental implants are a well-established treatment, supported by over 30 years of clinical evidence and a 95% success rate or higher. Implants actually improve the health of your jaw by increasing blood flow to an area that would otherwise atrophy.
How long does the implant process take?
Dental implants mostly take from 3 to 6 months altogether, from the initial assessment to the fitting of the final crown.
How quickly can I go back to work after implants?
Most patients can return to work within one or two days of surgery.

